PathoPic – image database / PathoPic ID 1344 - Lymphozytäre Gastritis

de
Diagnose
Lymphozytäre Gastritis
Diagnose Gruppe
Entzündung / Reparatur
Topographie
Magenantrum
Topographie Gruppe
Oesophagus, Magen
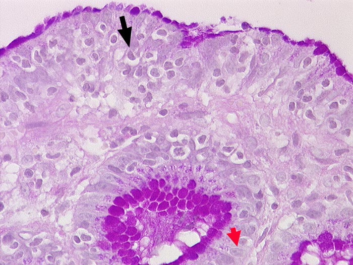
Beschreibung
Stroma ohne relevantes Entzündungsinfiltrat. Sehr zahlreiche intraepitheliale Lymphozyten. Im Gegensatz zu den Epithelzellen mit länglichen, hellen Kernen haben die Lymphozyten runde, dunkle Kerne und sind von einem Halo umgeben.
Zusatzbefund
Kein Helicobacter pylori.
Bilder Typ
Histologie
Alter
33
Geschlecht
unbekannt
Datum
Ersteintrag: 05.12.2001
Update: 04.02.2024