PathoPic – image database / PathoPic ID 135 - Endocarditis marantica

de
Diagnose
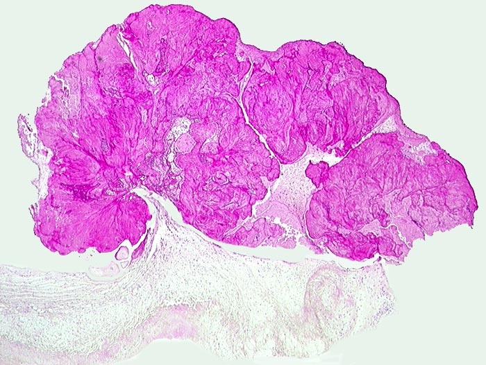
Endocarditis marantica
Diagnose Gruppe
Entzündung / Reparatur
Topographie
Aortenklappe
Topographie Gruppe
Kardiovaskuläres System
Beschreibung
Der Aortenklappe ist eine Vegetation aus Fibrin aufgelagert.
Klinik
Metastasierendes Bronchuskarzinom.
Bilder Typ
Histologie
Alter
75
Geschlecht
männlich
Datum
Ersteintrag: 25.10.2001
Update: 04.02.2024