Diagnose
muzinöses Bronchioloalveoläres Karzinom
Diagnose Gruppe
maligner Tumor
Topographie Gruppe
Lunge, Mediastinum mit Thymus
Beschreibung
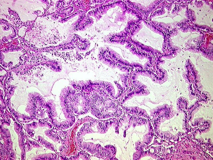
Hochzylindrische schleimbildende Zellen mit geringen Atypien tapezieren die Alveolarsepten aus. Das Lungengerüst bleibt erhalten.
Zusatzbefund
3cm grosser peripherer Lungentumor. Metastasen Lymphknoten,Hirn, Nebennieren.
Klinik
Tumor bekannt seit 3 Jahren.
Datum
Ersteintrag: 25.10.2001
Update: 04.02.2024