Pathopic
HiPaKu
ZyPaKu
PathoBasic
PathoBasic Cytology
Quizzes
Projektinfos
PathoPic - Projekt- und Copyright-Infos
About
Pathopic
HiPaKu
ZyPaKu
PathoBasic
PathoBasic Cytology
Quizzes
PathoPic – image database
/
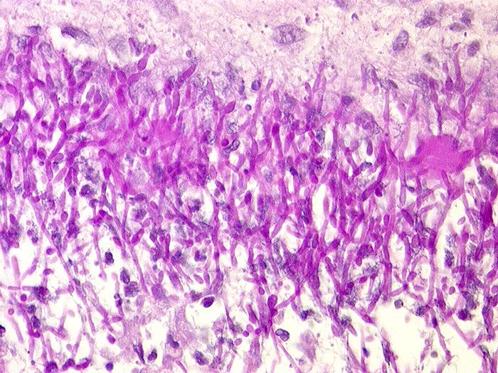
PathoPic ID 1462 - Soorösophagitis
de
Diagnose
Soorösophagitis
Diagnose Gruppe
Entzündung infektiös
Topographie
Oesophagus
Topographie Gruppe
Oesophagus, Magen
Beschreibung
PAS positive Soor Sporen (rund) und Pseudohyphen (Pilzfäden ohne echte Verzweigungen).
Bilder Typ
Histologie
Geschlecht
weiblich
Datum
Ersteintrag: 07.12.2001
Update: 04.02.2024
CPS
·
©
2024 Institut für Pathologie Basel
/
Dr. med. Katharina Glatz-Krieger
.
·
v2.1