Pathopic
HiPaKu
ZyPaKu
PathoBasic
PathoBasic Cytology
Quizzes
Projektinfos
PathoPic - Projekt- und Copyright-Infos
About
Pathopic
HiPaKu
ZyPaKu
PathoBasic
PathoBasic Cytology
Quizzes
PathoPic – image database
/
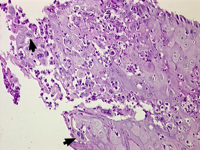
PathoPic ID 1478 - Akute Herpesösophagitis
de
Diagnose
Akute Herpesösophagitis
Diagnose Gruppe
Entzündung infektiös
Topographie
Oesophagus
Topographie Gruppe
Oesophagus, Magen
Beschreibung
Oberflächliche Epithelzellen mit Milchglaskernen, teilweise
►
mehrkernig. Granulozytäres Entzündungsinfiltrat.
Zusatzbefund
Immunhistochemisch HSV Antikörper positiv.
Bilder Typ
Histologie
Alter
62
Geschlecht
unbekannt
Datum
Ersteintrag: 10.12.2001
Update: 04.02.2024
CPS
·
©
2024 Institut für Pathologie Basel
/
Dr. med. Katharina Glatz-Krieger
.
·
v2.1