Diagnose
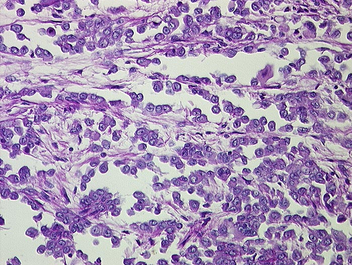
Malignes Mesotheliom epithelialer Typ
Diagnose Gruppe
maligner Tumor
Topographie Gruppe
Körperhöhlen, Serosa
Beschreibung
Kubische Zellen kleiden tubuläre Räume aus. Die Tumorzellen haben vesikuläre Kerne mit prominenten Nukleolen.
Zusatzbefund
500ml seröser Ascites. Kleine Metastasen in der Lunge.
Klinik
Bekannt seit 6 Monaten.
Datum
Ersteintrag: 12.12.2001
Update: 04.02.2024