PathoPic – image database / PathoPic ID 155 - Papilläres Nierenzellkarzinom

de
Diagnose
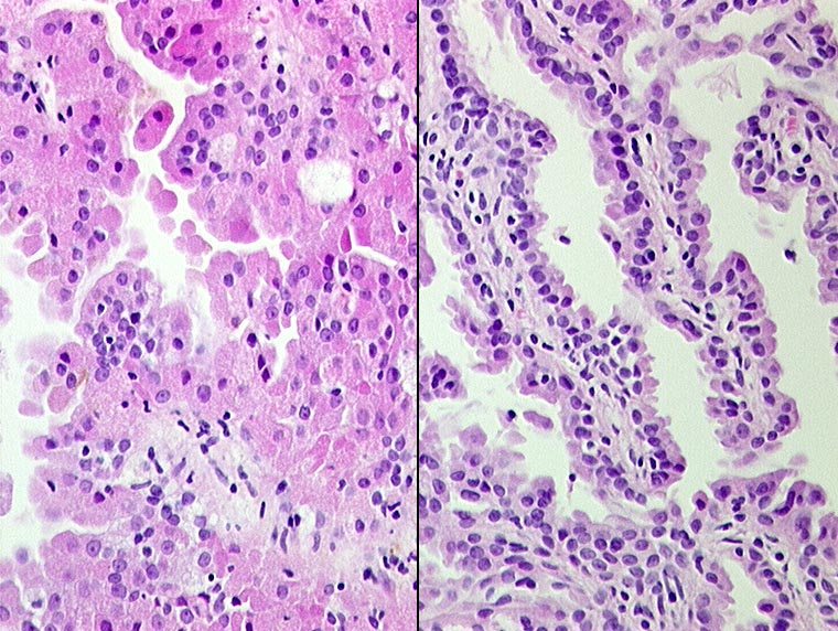
Papilläres Nierenzellkarzinom
Diagnose Gruppe
maligner Tumor
Topographie
Niere
Topographie Gruppe
Niere, Harnwege
Beschreibung
Links im Bild onkozytäre Tumorzellen mit feingranulärem eosinophilem Zytoplasma. Rechts schmale Papillen bedeckt von kubischen Tumorzellen.
Klinik
Im CT 3cm grosser Tumor im Nierenunterpol.
Bilder Typ
Histologie
Alter
65
Geschlecht
männlich
Datum
Ersteintrag: 25.10.2001
Update: 04.02.2024