PathoPic – image database / PathoPic ID 1566 - Kapillarosklerose bei Phenacetinabusus

de
Diagnose
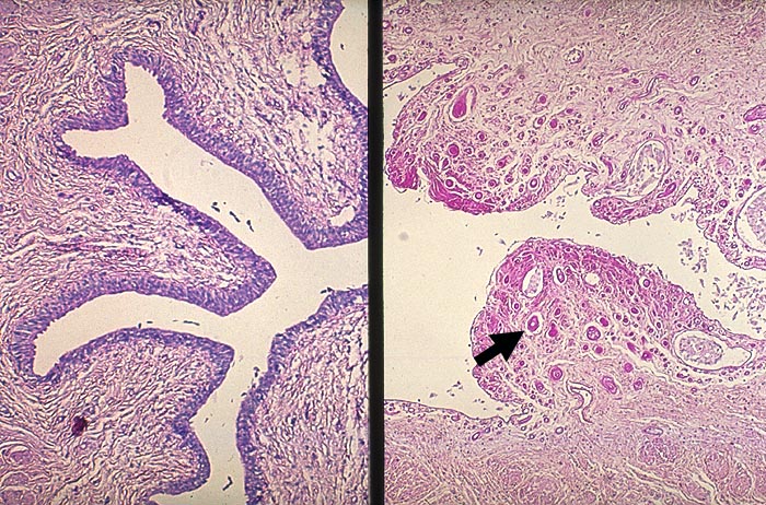
Kapillarosklerose bei Phenacetinabusus
Diagnose Gruppe
Therapiefolgen
Topographie
Ureter
Topographie Gruppe
Niere, Harnwege
Beschreibung
Im Vergleichsureter links sind praktisch keine Kapillaren erkennbar. Bei Analgetika-Abusus treten die Kapillaren als stark PAS-positive Strukturen deutlich hervor. Das umliegende Bindegewebe ist leicht sklerosiert und ebenfalls stärker PAS-positiv als im Vergleichsureter.
Bilder Typ
Histologie
Geschlecht
weiblich
Datum
Ersteintrag: 13.12.2001
Update: 04.02.2024