Pathopic
HiPaKu
ZyPaKu
PathoBasic
PathoBasic Cytology
Quizzes
Projektinfos
PathoPic - Projekt- und Copyright-Infos
About
Pathopic
HiPaKu
ZyPaKu
PathoBasic
PathoBasic Cytology
Quizzes
PathoPic – image database
/
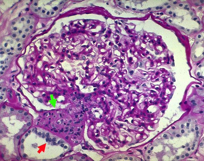
PathoPic ID 1604 - Juxtaglomerulärer Apparat mit Macula densa
de
Diagnose
Juxtaglomerulärer Apparat mit Macula densa
Diagnose Gruppe
Normalbefund
Topographie
Niere
Topographie Gruppe
Niere, Harnwege
Beschreibung
Normaler Glomerulus.
►
Juxtaglomerulärer Apparat mit
►
Macula densa. Zartes Mesangium.
Bilder Typ
Histologie
Geschlecht
weiblich
Datum
Ersteintrag: 31.12.2001
Update: 04.02.2024
CPS
·
©
2024 Institut für Pathologie Basel
/
Dr. med. Katharina Glatz-Krieger
.
·
v2.1