Diagnose
Nephrokalzinose, dystrophe Form
Diagnose Gruppe
Therapiefolgen
Topographie Gruppe
Niere, Harnwege
Beschreibung
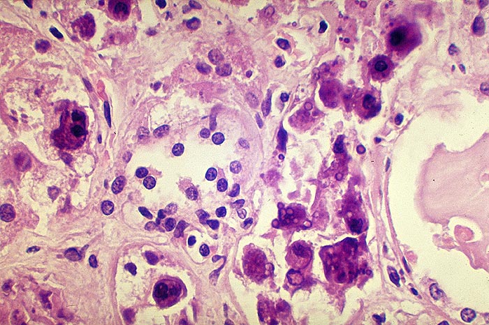
Verkalkungen der Tubulusepithelien nach Tubulusnekrose.
Klinik
Tubulusnekrose nach Gentamycintherpaie.
Kommentar
Nekrotische Tubuli und Glomeruli mit Verkalkungen.
Kalkablagerungen bei Überschuss alkalischer Valenzen z.B. Nekrosen. Nephrokalzinose tritt auch bei normalen Serumkalziumwerten auf, wird aber durch Hyperkalziurie begünstigt.
Datum
Ersteintrag: 08.01.2002
Update: 04.02.2024