Kommentar
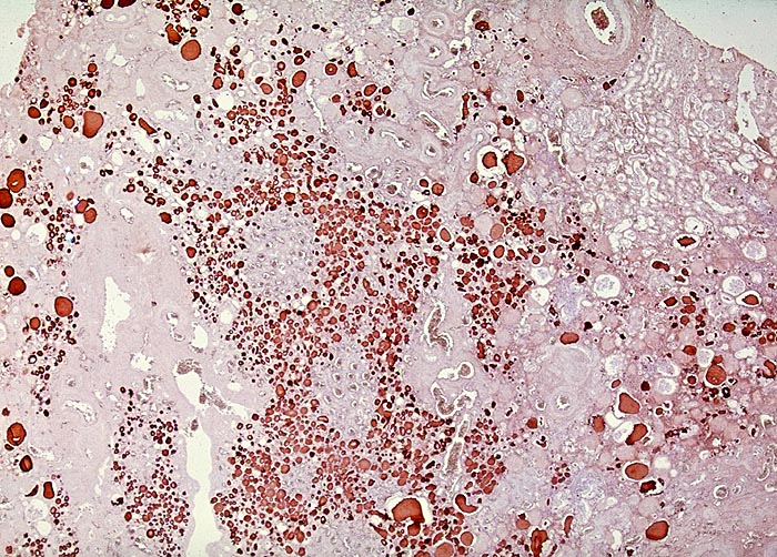
Chronische Pyelonephritis: neben unverändertem Parenchym herdförmige lymphoplasmohistiozytäre Infiltrate (bei akutem Schub zusäztlich neutrophile Granulozyten). Granulationsgewebe im Interstitium führt schliesslich zur Narbenbildung und Nierenschrumpfung.
Pseudostrumabild: Gruppen erhaltener dilatierter Tubuli mit abgeflachtem Epithel enthalten sogenanntes Harnmukoid (Tamm-Horsfall Protein und/oder IgA). Bei kindlicher Pyelonephritis häufig auch Lymphfollikel. Pseudostrumaherde sind ein wichtiger Hinweis, aber kein Beweis für chronische Pyelonephritis.