Pathopic
HiPaKu
ZyPaKu
PathoBasic
PathoBasic Cytology
Quizzes
Projektinfos
PathoPic - Projekt- und Copyright-Infos
About
Pathopic
HiPaKu
ZyPaKu
PathoBasic
PathoBasic Cytology
Quizzes
PathoPic – image database
/
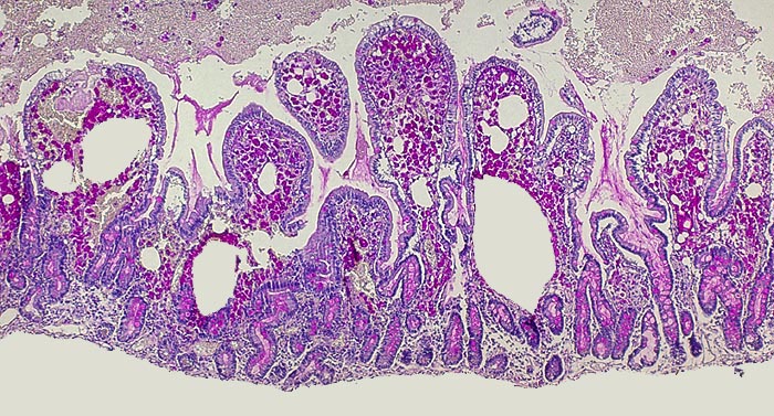
PathoPic ID 1838 - Morbus Whipple
de
Diagnose
Morbus Whipple
Diagnose Gruppe
Entzündung infektiös
Topographie
Duodenum
Topographie Gruppe
Darm, Anus
Beschreibung
Massive Infiltration der Mukosa durch PAS positive Makrophagen. Die Hohlräume entsprechen Lymphangiektasien.
Bilder Typ
Histologie
Geschlecht
weiblich
Datum
Ersteintrag: 08.01.2002
Update: 04.02.2024
CPS
·
©
2024 Institut für Pathologie Basel
/
Dr. med. Katharina Glatz-Krieger
.
·
v2.1