PathoPic – image database / PathoPic ID 1911 - Arteriolosklerose von Vas afferens und Vas efferens bei Diabetes

de
Diagnose
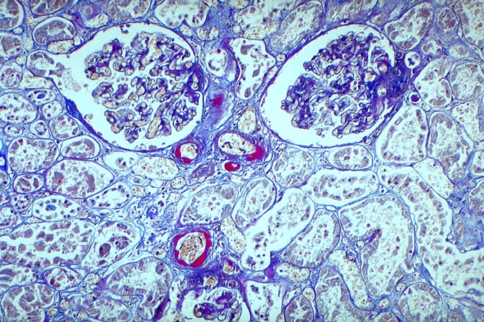
Arteriolosklerose von Vas afferens und Vas efferens bei Diabetes
Diagnose Gruppe
Systemerkrankung/Immunpathologie
Topographie
Niere
Topographie Gruppe
Niere, Harnwege
Beschreibung
Plumpe subendotheliale Proteinablagerungen von roter Farbe in den Arteriolen.
Klinik
Diabetes mellitus Typ II
Kommentar
Typisch für Diabetes mellitus ist der Befall von Vas afferens und efferens, oft auch der Vasa recta. In intrarenalen Arterien unspezifische Atherosklerose teilweise mit Atheromen (typisch für Diabetes). Der Schweregrad korreliert im allgemeinen mit dem Ausmass der exsudativen Läsionen der Glomerulosklerose. Die Arteriolosklerose im Vas afferens beim Diabetes ist identisch mit der Arteriolosklerose bei arterieller Hypertonie.
Bilder Typ
Histologie
Geschlecht
weiblich
Datum
Ersteintrag: 11.01.2002
Update: 04.02.2024