Diagnose
Arteriolosklerose bei Diabetes Frühstadium
Diagnose Gruppe
Systemerkrankung/Immunpathologie
Topographie Gruppe
Niere, Harnwege
Beschreibung
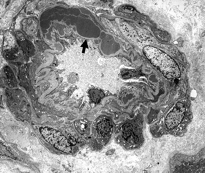
Innerhalb der Basalmembran gelegene plumpe ► Proteinablagerungen. Die glatten Muskelzellen sind in der gesamten Peripherie erhalten.
Kommentar
Typisch für Diabetes mellitus ist der Befall von Vas afferens und efferens, oft auch der Vasa recta. In intrarenalen Arterien unspezifische Atherosklerose teilweise mit Atheromen (typisch für Diabetes). Der Schweregrad korreliert im allgemeinen mit dem Ausmass der exsudativen Läsionen der Glomerulosklerose. Die Arteriolosklerose im Vas afferens beim Diabetes ist identisch mit der Arteriolosklerose bei arterieller Hypertonie.
Datum
Ersteintrag: 11.01.2002
Update: 04.02.2024