Diagnose
Diabetische Glomerulosklerose: Exsudative Läsion
Diagnose Gruppe
Systemerkrankung/Immunpathologie
Topographie Gruppe
Niere, Harnwege
Beschreibung
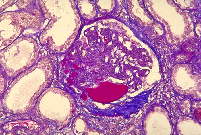
Diffuse Glomerulosklerose mit segmentaler Sklerose (Exsudative Läsion): fingerförmige Verbreiterung des Mesangiums mit Matrixvermehrung ohne begleitende Zellvermehrung. Einzelne periphere Schlingen werden durch teilweise riesige Proteinthromben vollständig ausgefüllt. In diesen Bereichen Synechie mit der Bowman' Kapsel. Die übrigen Schlingen mit teilweise weit offenen Lumina.
Klinik
Diabetes mellitus.
Kommentar
Exsudative Läsion: subendotheliale Proteinablagerungen teilweise mit vollständigem Verschluss der Glomerulusschlingen, früher als fibrinoide Schlingenkappen bezeichnet (entspricht bei anderen Nephropathien der sekundären segmental fokalen Glomerulosklerose bei Überlastungsglomerulopathie). Korreliert mit Schweregrad der Ateriolosklerose. Gleichzeitig knotige Proteinablagerungen in der Bowman'schen Kapselbasalmembran (Kapseltropfen). Glomeruläre exsudative Läsionen gehen meist mit Synechien einher und führen zur globalen Glomerulosklerose.
Datum
Ersteintrag: 11.01.2002
Update: 04.02.2024