PathoPic – image database / PathoPic ID 1920 - Diabetische noduläre Glomerulosklerose: Exsudative Läsion

de
Diagnose
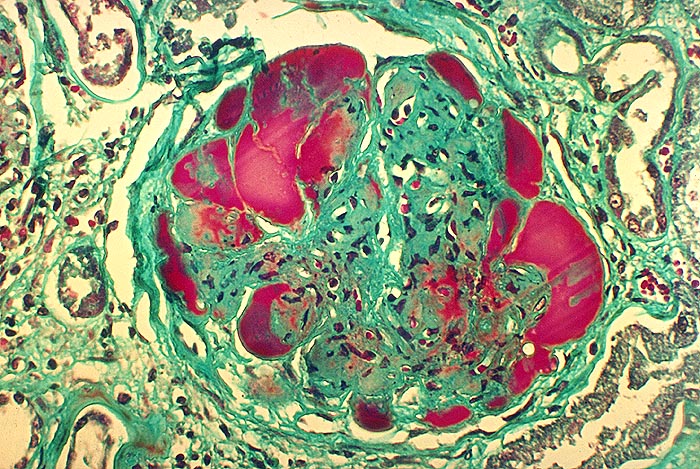
Diabetische noduläre Glomerulosklerose: Exsudative Läsion
Diagnose Gruppe
Systemerkrankung/Immunpathologie
Topographie
Niere
Topographie Gruppe
Niere, Harnwege
Beschreibung
Die peripheren Glomerulusschlingen werden durch riesige Proteinthromben vollständig ausgefüllt (exsudative Läsion). Das Mesangium ist massiv verbreitert infolge Matrixvermehrung. Auch im Mesangium sind einzelne Proteinablagerungen erkennbar. Auffallend in diesem Glomerulus ist auch der Zellreichtum des Mesangiums.
Klinik
Diabetes mellitus.
Kommentar
Diese exsudativen Läsionen wurden früher als fibrinoide Schlingenkappen bezeichnet. Es handelt sich aber nicht um Proteinablagerungen auf der Aussenseite der Glomerulusschlingen, sondern vielmehr um Proteinthromben, die aneurysmatische Glomerulsusschlingen vollständig aufsüllen.
Bilder Typ
Histologie
Geschlecht
weiblich
Datum
Ersteintrag: 11.01.2002
Update: 04.02.2024