Pathopic
HiPaKu
ZyPaKu
PathoBasic
PathoBasic Cytology
Quizzes
Projektinfos
PathoPic - Projekt- und Copyright-Infos
About
Pathopic
HiPaKu
ZyPaKu
PathoBasic
PathoBasic Cytology
Quizzes
PathoPic – image database
/
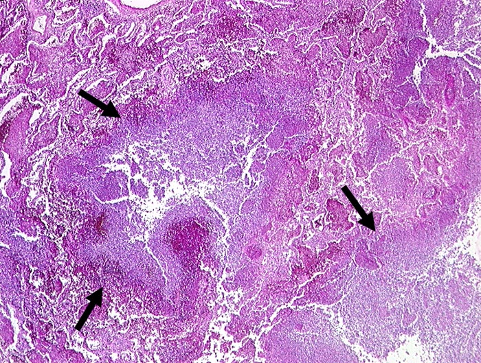
PathoPic ID 195 - abszedierende Pneumonie
de
Diagnose
abszedierende Pneumonie
Diagnose Gruppe
Entzündung infektiös
Topographie
Lunge
Topographie Gruppe
Lunge, Mediastinum mit Thymus
Beschreibung
Im Zentrum und rechts unten im Bild zerstörtes Lungenparenchym. Anstelle des Parenchyms
►
eitrige Einschmelzung.
Bilder Typ
Histologie
Alter
59
Geschlecht
unbekannt
Datum
Ersteintrag: 30.10.2001
Update: 04.02.2024
CPS
·
©
2024 Institut für Pathologie Basel
/
Dr. med. Katharina Glatz-Krieger
.
·
v2.1