Diagnose
atypisches Karzinoid
Diagnose Gruppe
maligner Tumor
Topographie Gruppe
Lunge, Mediastinum mit Thymus
Beschreibung
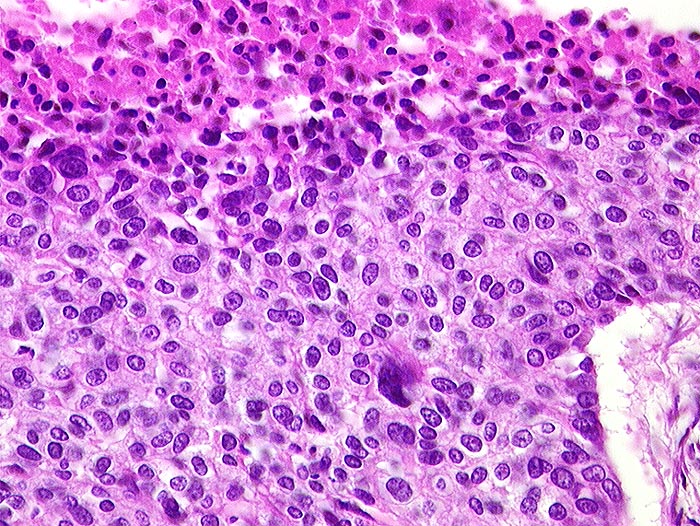
Solider Tumor mit Tumornekrose (obere Bildhälfte). Leichte Zellkernpleomorphie.
Zusatzbefund
4cm grosser Tumor im linken Lungenunterlappen.
Klinik
Lungentumor bekannt seit 4 Jahren.
Datum
Ersteintrag: 11.07.2002
Update: 04.02.2024