PathoPic – image database / PathoPic ID 2019 - Amyloidose

de
Diagnose
Amyloidose
Diagnose Gruppe
Systemerkrankung/Immunpathologie
Topographie
Niere
Topographie Gruppe
Niere, Harnwege
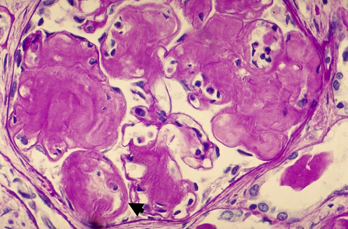
Beschreibung
Massive knotige mesangiale Amyloidablagerungen. Die peripheren Schlingen werden teilweise durch Amyloid vollständig aufgefüllt. An anderen Stellen sind die peripheren Basalmembranen massiv verdickt.
Zusatzbefund
Amyloidschrumpfniere 50g. AA-Amyloidose bei chronischer Polyarthritis.
Kommentar
Glomeruläre Amyloidose: anfangs kleine mesangiale, gelegentlich besonders Gefässpolnahe zellfreie Amyloidablagerungen, später teilweise noduläre mesangiale Ablagerungen und Ausdehnung in die Schlingenperipherie mit Durchsetzung der Basalmembran. Schliesslich vollständige Ausfüllung der Schlingenlumina und Verödung der Glomeruli.
Bilder Typ
Histologie
Geschlecht
weiblich
Datum
Ersteintrag: 05.02.2002
Update: 04.02.2024