Diagnose
Perakuter Myokardinfarkt
Diagnose Gruppe
vaskulär / Durchblutungsstörung
Topographie Gruppe
Kardiovaskuläres System
Beschreibung
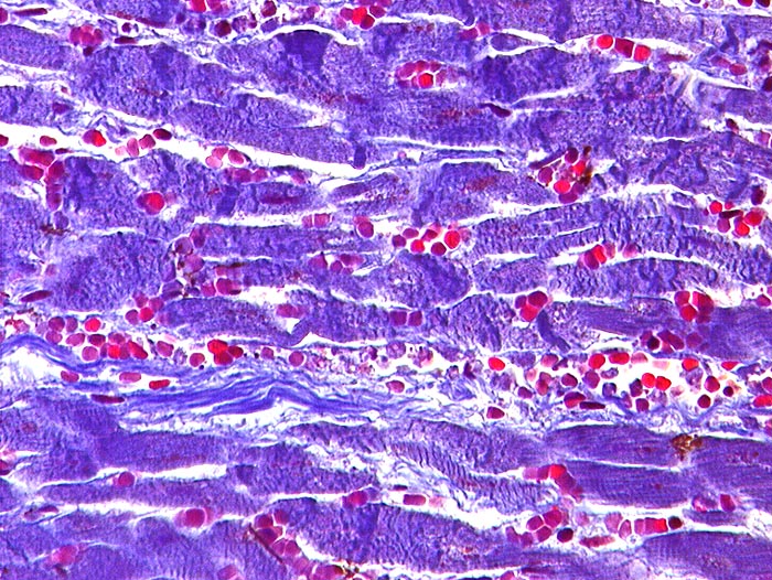
Nekrotische Myokardfasern mit zahlreichen Kontraktionsbändern. Ein granulozytäres Entzündungsinfiltrat fehlt.
Klinik
St.n. vierfachem Aortokoronarem Bypass vor 10 Jahren.
Datum
Ersteintrag: 30.10.2001
Update: 04.02.2024