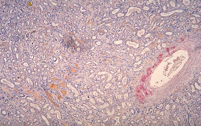
Diagnose
Amyloidose der Gefässe
Diagnose Gruppe
Systemerkrankung/Immunpathologie
Topographie Gruppe
Niere, Harnwege
Beschreibung
Ausschliesslich Amyloidablagerungen in einer Arterienwand.
Zusatzbefund
Glomeruli und Interstitium negativ. AL-Amyloid.
Datum
Ersteintrag: 05.02.2002
Update: 04.02.2024