Pathopic
HiPaKu
ZyPaKu
PathoBasic
PathoBasic Cytology
Quizzes
Projektinfos
PathoPic - Projekt- und Copyright-Infos
About
Pathopic
HiPaKu
ZyPaKu
PathoBasic
PathoBasic Cytology
Quizzes
PathoPic – image database
/
PathoPic ID 2031 - AL-Amyloidose
de
Diagnose
AL-Amyloidose
Diagnose Gruppe
Systemerkrankung/Immunpathologie
Topographie
Niere
Topographie Gruppe
Niere, Harnwege
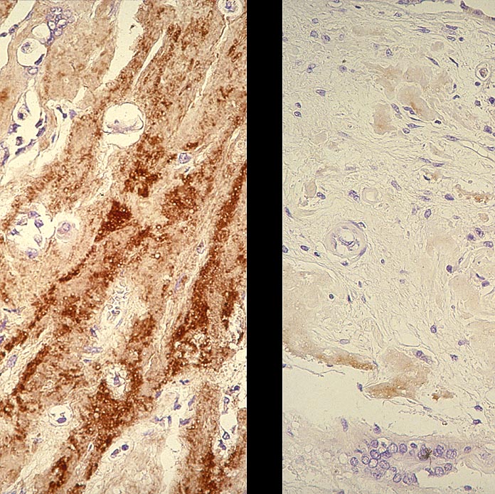
Beschreibung
Interstitielle peritubuläre Ablagerungen von AL-Amyloid (links). Die Inkubation mit AA-Amyloid ist negativ (rechts).
Bilder Typ
Histologie
Immunhistochemie
AL-Amyloid
Geschlecht
weiblich
Datum
Ersteintrag: 05.02.2002
Update: 04.02.2024
CPS
·
©
2024 Institut für Pathologie Basel
/
Dr. med. Katharina Glatz-Krieger
.
·
v2.1