PathoPic – image database / PathoPic ID 215 - CMV (Zytomegalie) Pneumonie

de
Diagnose
CMV (Zytomegalie) Pneumonie
Diagnose Gruppe
Entzündung infektiös
Topographie
Lunge
Topographie Gruppe
Lunge, Mediastinum mit Thymus
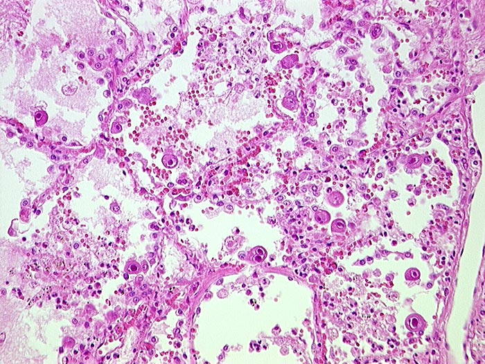
Beschreibung
Virale Kerneinschlüsse mit Halo in Pneumozyten (sogenannte Eulenaugenzellen)
Klinik
HIV positiv seit 5 Jahren. Nachweis von zytomegalen Zellen im Hirn, in der Lunge, im Gastrointestinaltrakt, den Nieren und der Nebenniere. Zusätzlich bakterielle Pneumonie.
Bilder Typ
Histologie
Alter
59
Geschlecht
männlich
Datum
Ersteintrag: 05.11.2001
Update: 04.02.2024