Diagnose
CMV (Zytomegalie) Pneumonie
Diagnose Gruppe
Entzündung infektiös
Topographie Gruppe
Lunge, Mediastinum mit Thymus
Beschreibung
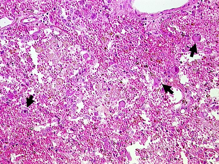
► Virale Kerneinschlüsse mit Halo in Pneumozyten (sogenannte Eulenaugenzellen). Intraalveoläre Hämorrhagie.
Klinik
HIV positiv seit 5 Jahren. Nachweis von zytomegalen Zellen im Hirn, in der Lunge, im Gastrointestinaltrakt, den Nieren und der Nebenniere. Zusätzlich bakterielle Pneumonie.
Datum
Ersteintrag: 05.11.2001
Update: 04.02.2024