Pathopic
HiPaKu
ZyPaKu
PathoBasic
PathoBasic Cytology
Quizzes
Projektinfos
PathoPic - Projekt- und Copyright-Infos
About
Pathopic
HiPaKu
ZyPaKu
PathoBasic
PathoBasic Cytology
Quizzes
PathoPic – image database
/
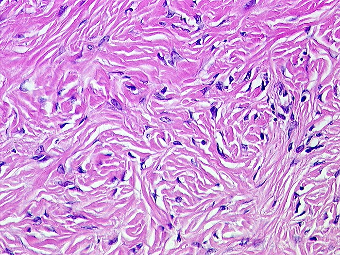
PathoPic ID 219 - kutanes fibröses Histiozytom
de
Diagnose
kutanes fibröses Histiozytom
Diagnose Gruppe
benigner Tumor
Topographie
Haut, obere Extremität
Topographie Gruppe
Haut
Beschreibung
Dichtes kollagenes Bindegewebe mit eingestreuten spindeligen Tumorzellen.
Bilder Typ
Histologie
Alter
24
Geschlecht
unbekannt
Datum
Ersteintrag: 05.11.2001
Update: 04.02.2024
CPS
·
©
2024 Institut für Pathologie Basel
/
Dr. med. Katharina Glatz-Krieger
.
·
v2.1