Diagnose
Dense deposit disease: intramembranöse Glomerulonephritis
Diagnose Gruppe
Systemerkrankung/Immunpathologie
Topographie Gruppe
Niere, Harnwege
Beschreibung
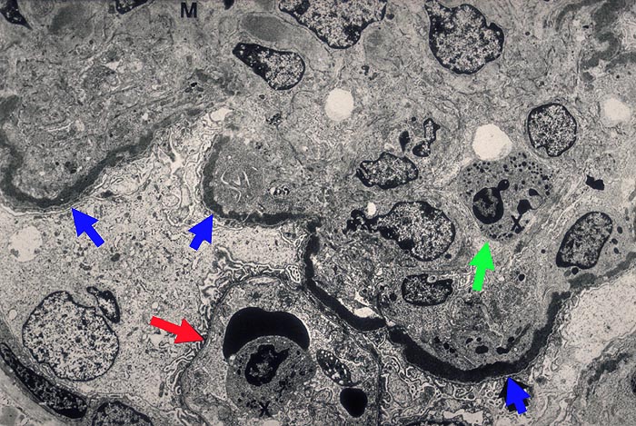
Eine der ► Schlingen weist keine osmiophilen Depots auf. In der benachbarten Schlinge massive, ► bandförmige Depots. In den Schlingenlumina findet man ► neutrophile Granulozyten, daneben auch Monozyten. Im Mesangium besteht eine deutliche Sklerose, begleitet von einzelnen osmiophilen Depots.
Kommentar
Im EM: intramembranöse stark osmiophile bandförmige Depots auch in der Bowman'Kapselbasalmembran, Arteriolen und tubulären Basalmembranen. DD: Leichtketten Nephropathie.
Datum
Ersteintrag: 28.02.2002
Update: 04.02.2024