PathoPic – image database / PathoPic ID 2358 - Tertiärer Hyperparathyreoidismus: Epithelkörperchenhyperplasie

de
Diagnose
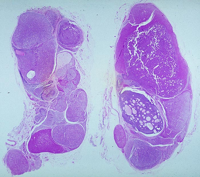
Tertiärer Hyperparathyreoidismus: Epithelkörperchenhyperplasie
Diagnose Gruppe
Hyperplasie / Hypertrophie
Topographie
Nebenschilddrüse
Topographie Gruppe
Endokrinium
Beschreibung
Vergrössertes aus mehreren hyperplastischen Knoten bestehendes Epithelkörperchen.
Zusatzbefund
Analgetikanephropathie mit bilateralen Schrumpfnieren. Anderes Epithelkörperchen mit Adenom.
Bilder Typ
Histologie
Geschlecht
weiblich
Datum
Ersteintrag: 06.03.2002
Update: 04.02.2024