PathoPic – image database / PathoPic ID 237 - Riesenzellarteriitis der Arteria carotis interna

de
Diagnose
Riesenzellarteriitis der Arteria carotis interna
Diagnose Gruppe
Entzündung / Reparatur
Topographie
Arteria carotis
Topographie Gruppe
Kardiovaskuläres System
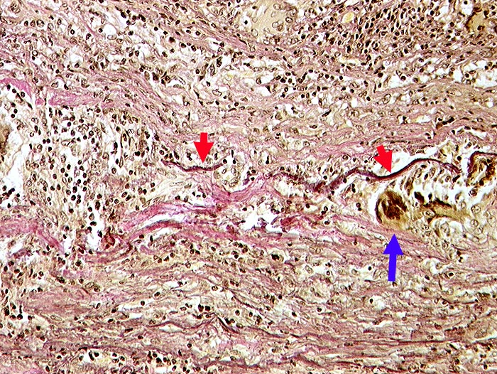
Beschreibung
Dichtes lymphohistiozytäres Entzündungsinfiltrat in der Gefässwand. Riesenzellen phagozytieren die bereits fragmentierte Lamina elastica externa.
Klinik
Bronchuskarzinom.
Kommentar
Primäre Vaskulitis mit Befall grosser Gefässe, bevorzugt extrakranielle Äste der Arteria carotis. Temporalarterie häufig betroffen.
Bilder Typ
Histologie
Alter
77
Geschlecht
männlich
Datum
Ersteintrag: 06.11.2001
Update: 04.02.2024