PathoPic – image database / PathoPic ID 2370 - Renale Osteopathie: tunnellierende Fibroosteoklasie, Osteoidose

de
Diagnose
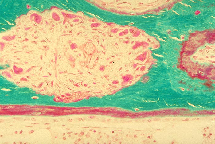
Renale Osteopathie: tunnellierende Fibroosteoklasie, Osteoidose
Diagnose Gruppe
Systemerkrankung/Immunpathologie
Topographie
Knochen, Wirbelsäule
Topographie Gruppe
Knochen, Knorpel, Gelenke
Beschreibung
Grosse Resorptionslakune innerhalb eines Spongiosabälkchens liegend. Zahlreiche Osteoklasten bauen den Knochen ab. Unten im Bild: Osteoid (rot) und Osteoblastensaum.
Klinik
Sekundärer Hyperparathyreoidismus bei chronischer Niereninsuffizienz.
Bilder Typ
Histologie
Geschlecht
weiblich
Datum
Ersteintrag: 06.03.2002
Update: 04.02.2024