Diagnose
Renale Osteopathie: tunnellierende Fibroosteoklasie, Osteoidose
Diagnose Gruppe
Systemerkrankung/Immunpathologie
Topographie
Knochen, Wirbelsäule
Topographie Gruppe
Knochen, Knorpel, Gelenke
Beschreibung
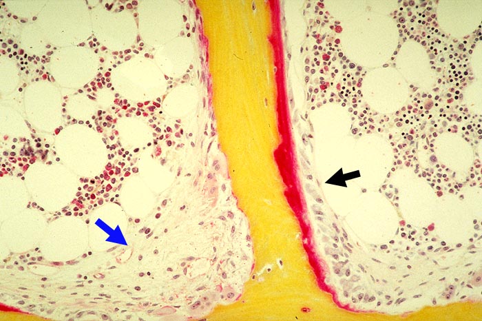
Stark erhöhter Spongiosaumbau: ► Resorptionslakune mit Osteoklasten und endostaler Fibrose (Fibroosteoklasie). ► Osteoblasten- und roter Osteoidsaum (Osteoidose).
Klinik
Sekundärer Hyperparathyreoidismus bei chronischer Niereninsuffizienz.
Datum
Ersteintrag: 06.03.2002
Update: 04.02.2024