PathoPic – image database / PathoPic ID 2451 - Xanthogranulomatöse Pyelonephritis

de
Diagnose
Xanthogranulomatöse Pyelonephritis
Diagnose Gruppe
Entzündung infektiös
Topographie
Niere
Topographie Gruppe
Niere, Harnwege
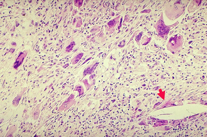
Beschreibung
Ausschnitt aus dem Granulationsgewebesaum. Hier finden sich massenhaft Riesenzellen vom Fremdkörpertyp. Dazwischen ein gemischtzelliges entzündliches Infiltrat. Typischerweise sind auch Fremdkörpergranulome in der Umgebung von Cholesterinkristallen anzutreffen.
Kommentar
Stets einseitige Pyelonephritis mit typischer Trias:
1. Obstruktion der ableitenden Harnwege zumeist durch Phosphatsteine
2. Coli oder Proteusinfekt
3. Störung der Leukozytenfunktion. Kommen tuberkuloide Granulome vor, wird fälschlicherweise oft eine Tuberkulose diagnostiziert. Bei Tuberkulose aber nie Schaumzellen. Die Malakoplakie der Niere ist im Gegensatz zur xanthogranulomatösen Pyelonephritis stets beidseitig.
Bilder Typ
Histologie
Alter
27
Geschlecht
unbekannt
Datum
Ersteintrag: 07.03.2002
Update: 04.02.2024