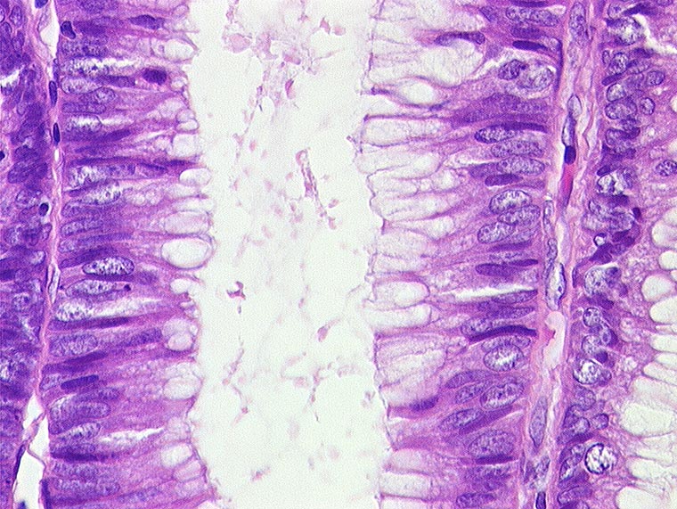
Diagnose
Kolonschleimhautadenom, leichte Dysplasie.
Diagnose Gruppe
Präneoplasie/ Atypie/ Dignität?
Topographie Gruppe
Darm, Anus
Beschreibung
Längliche, teils leicht vergrösserte, hyperchromatische Kerne. Wenig reduzierte Schleimbildung.
Datum
Ersteintrag: 23.10.2001
Update: 04.02.2024