PathoPic – image database / PathoPic ID 255 - Psammomatöses Meningeom

de
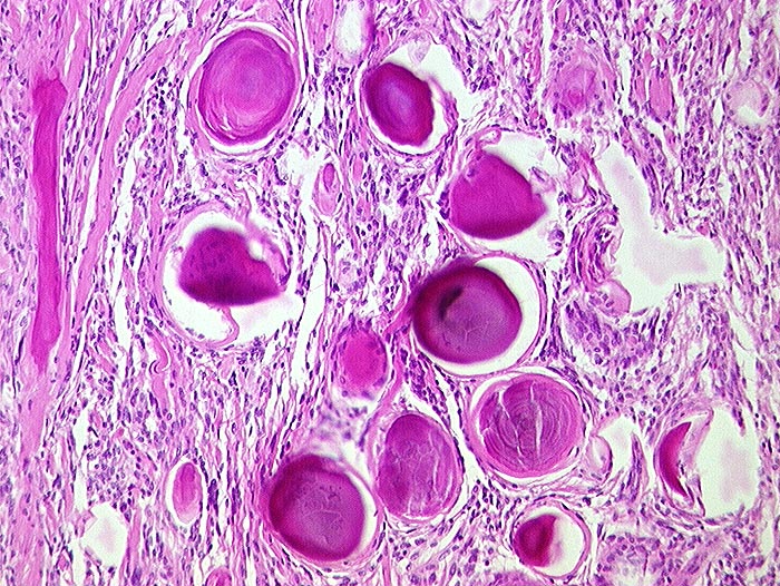
Diagnose
Psammomatöses Meningeom
Diagnose Gruppe
benigner Tumor
Topographie
Meningen
Topographie Gruppe
Nervensystem
Zusatzbefund
Kugeliger Tumor im Bereich der Falx cerebri.
Bilder Typ
Histologie
Geschlecht
weiblich
Datum
Ersteintrag: 06.11.2001
Update: 04.02.2024