PathoPic – image database / PathoPic ID 2636 - Membranoproliferative Glomerulonephritis: proliferative Phase

de
Zeitverlauf
Diagnose
Membranoproliferative Glomerulonephritis: proliferative Phase
Diagnose Gruppe
Entzündung / Reparatur
Topographie
Niere
Topographie Gruppe
Niere, Harnwege
Beschreibung
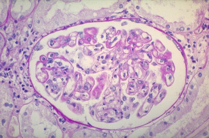
Das Mesangium ist nicht sklerosiert. Im Mesangium leichte Zellvermehrung. In den peripheren Schlingen dünne Proteinablagerungen. In den Schlingenlumina vermehrt mononukleäre Zellen und einzelne gelapptkernige Leukozyten.
Kommentar
Phasischer Ablauf:
Initial finden sich in den Schlingen subendotheliale Immundepots begleitet von gelapptkernigen Leukozyten und Monozyten.
Mit Abnahme der endokapillären Hyperzellularität kommt es zu einer mesangialen Zellproliferation mit Auswandern der Mesangiumzellen in die Peripherie und Neubildung einer Basalmembran (mesangiale Interposition).
Schliesslich verschwinden die subendothelialen Depots, die neugebildete Basalmembran wird dicker, die Mesangiumzellzahl nimmt ab und die mesangiale Sklerose zu.
Bilder Typ
Histologie
Geschlecht
weiblich
Datum
Ersteintrag: 14.03.2002
Update: 04.02.2024