Diagnose
Chronische Pneumocystis jirovecii Pneumonie
Diagnose Gruppe
Entzündung infektiös
Topographie Gruppe
Lunge, Mediastinum mit Thymus
Beschreibung
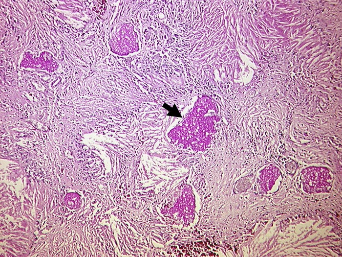
Vernarbung des Lungeninterstitiums mit herausgelösten Cholesterinkristallen und ► PAS positiven schaumigen Einschlüssen. Diese enthalten zahlreiche Erreger.
Klinik
AIDS. HIV Positivität bekannt seit 2 Jahren bei iv Drogenabusus.
Datum
Ersteintrag: 06.11.2001
Update: 04.02.2024