PathoPic – image database / PathoPic ID 2690 - Membranoproliferative Glomerulonephritis: mesangiale Depots

de
Diagnose
Membranoproliferative Glomerulonephritis: mesangiale Depots
Diagnose Gruppe
Entzündung / Reparatur
Topographie
Niere
Topographie Gruppe
Niere, Harnwege
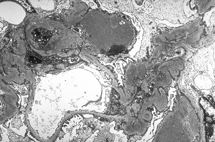
Beschreibung
Massive überwiegend mesangiale Depots. Die peripheren Glomerulusschlingen sind wenig verändert.
Zusatzbefund
Keine IgA Nephritis.
Kommentar
Depots hauptsächlich subendothelial, in späteren Phasen auch mesangial, gelegentlich einzelne subepitheliale Depots. Wenn viele subepitheliale Deptos vorliegen=Typ III.
Bilder Typ
EM
Geschlecht
weiblich
Datum
Ersteintrag: 15.03.2002
Update: 04.02.2024