PathoPic – image database / PathoPic ID 270 - Organisierte Cholesterinembolien

de
Diagnose
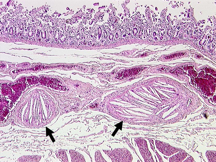
Organisierte Cholesterinembolien
Diagnose Gruppe
vaskulär / Durchblutungsstörung
Topographie
Dünndarm
Topographie Gruppe
Darm, Anus
Beschreibung
Organisierte wetzsteinförmige Cholesterinkristalle in submukösen Arterien.
Zusatzbefund
Cholesterinemboliesyndrom bei schwerer allgemeiner Atherosklerose. Nachweis unterschiedlich alter Cholesterinembolien in Nieren, Milz, Magen, Darm, Pankreas, Haut und Muskulatur. Infarkte von Nieren und Milz. Hautnekrosen.
Klinik
Koronare Herzkrankheit.
Bilder Typ
Histologie
Alter
85
Geschlecht
männlich
Datum
Ersteintrag: 06.11.2001
Update: 04.02.2024