PathoPic – image database / PathoPic ID 271 - Organisierte Cholesterinembolien

de
Diagnose
Organisierte Cholesterinembolien
Diagnose Gruppe
vaskulär / Durchblutungsstörung
Topographie
Haut
Topographie Gruppe
Haut
Beschreibung
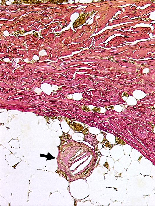
Organisierte wetzsteinförmige Cholesterinkristalle in subkutaner Arterie.
Zusatzbefund
Cholesterinemboliesyndrom bei schwerer allgemeiner Atherosklerose. Nachweis unterschiedlich alter Cholesterinembolien in Nieren, Milz, Magen, Darm, Pankreas, Haut und Muskulatur. Infarkte von Nieren und Milz. Hautnekrosen.
Klinik
Koronare Herzkrankheit.
Bilder Typ
Histologie
Alter
85
Geschlecht
männlich
Datum
Ersteintrag: 06.11.2001
Update: 04.02.2024