PathoPic – image database / PathoPic ID 2760 - Ischämische Kolitis

de
Diagnose
Ischämische Kolitis
Diagnose Gruppe
vaskulär / Durchblutungsstörung
Topographie
Kolon
Topographie Gruppe
Darm, Anus
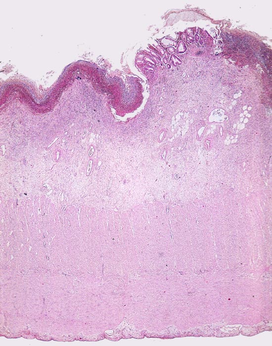
Beschreibung
Oberflächliche Schleimhautulzera. Dazwischen eine Insel intakter Schleimhaut. Submukosa fibrosiert. Kein Entzündungsinfiltrat in der Darmwand.
Klinik
St.n. Endoprotheseneinsatz. Vorübergehende Hypotonie.
Bilder Typ
Histologie
Alter
52
Geschlecht
unbekannt
Datum
Ersteintrag: 18.03.2002
Update: 04.02.2024