Diagnose
Metastase follikuläres Schilddrüsenkarzinom
Diagnose Gruppe
maligner Tumor
Topographie
Knochen, Becken
Topographie Gruppe
Knochen, Knorpel, Gelenke
Beschreibung
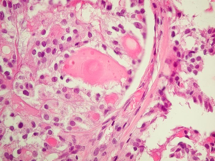
Die Metastase zeigt eine Morphologie vergleichbar mit normalem Schilddrüsenparenchym.
Zusatzbefund
Die Tumorzellen reagieren positiv mit Thyreoglobulin sowie mit dem nukleären Transkriptionsfaktor TTF-1
Klinik
Kein bekanntes Schilddrüsenkarzinom. Vor 30 Jahren Adenokarzinom des Kolons.
Datum
Ersteintrag: 18.03.2002
Update: 04.02.2024