PathoPic – image database / PathoPic ID 2851 - Zystische Mediadegeneration Erdheim Gsell

de
Diagnose
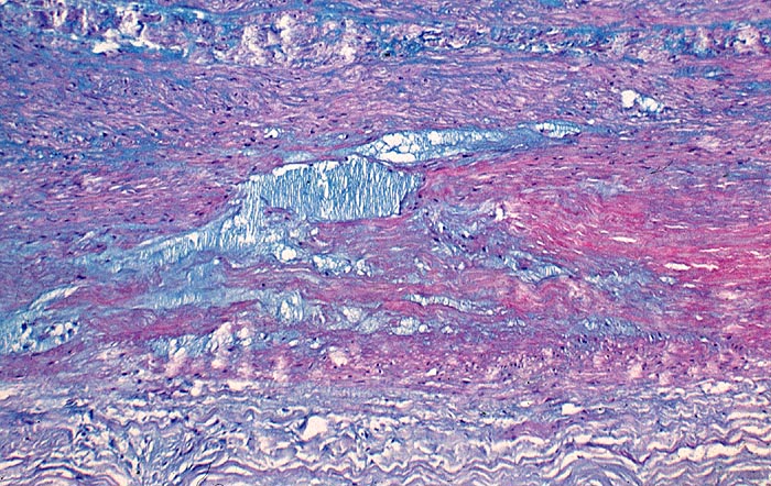
Zystische Mediadegeneration Erdheim Gsell
Diagnose Gruppe
angeboren /genetisch/Missbildung
Topographie
Aorta abdominalis
Topographie Gruppe
Kardiovaskuläres System
Beschreibung
Pseudozystische Degeneration der Media. Die zystischen und spaltförmigen Hohlräume sind aufgefüllt mit alcianblauen Mukopolysacchariden.
Kommentar
Besonders häufig kommt die zystische Mediadegeneration beim Marfan Syndrom vor. Sie gilt als wichtiger prädisponierender Faktor für ein Aneurysma dissecans der Aorta.
Bilder Typ
Histologie
Alter
37
Geschlecht
männlich
Datum
Ersteintrag: 19.03.2002
Update: 04.02.2024