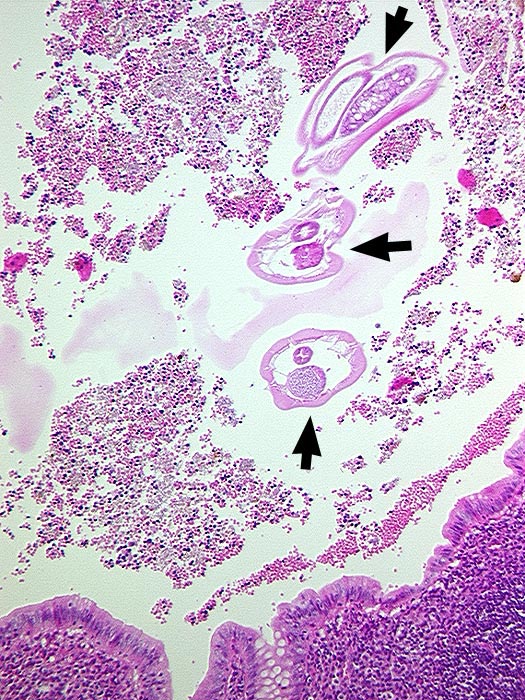
PathoPic – image database / PathoPic ID 287 - Oxyuren Appendicitis (Enterobius vermicularis)

de
Diagnose
Oxyuren Appendicitis (Enterobius vermicularis)
Diagnose Gruppe
Entzündung / Reparatur
Topographie
Appendix vermiformis
Topographie Gruppe
Darm, Anus
Beschreibung
Oxyureneier im Appendixlumen.
Zusatzbefund
Geringe erosive Appendicitis.
Klinik
Akute Appendicitis
Kommentar
Nematode. Darmparasit im Dünndarm, Kolon und Appendix. Nach oraler Aufnahme larvenhaltiger Eier schlüpfen Larven im Dünndarm und entwickeln sich nach 3 Häutungen zu Adultwürmern.
Bilder Typ
Histologie
Alter
10
Geschlecht
unbekannt
Datum
Ersteintrag: 07.11.2001
Update: 04.02.2024