PathoPic – image database / PathoPic ID 3004 - Vorhofmyxom

de
Diagnose
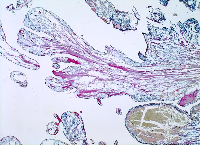
Vorhofmyxom
Diagnose Gruppe
benigner Tumor
Topographie
Herz Vorhof
Topographie Gruppe
Kardiovaskuläres System
Beschreibung
Papillär gebauter Tumor mit ödematösem myxoidem Stroma. Fokale Stromablutungen.
Bilder Typ
Histologie
Vergrösserung
25
Alter
19
Geschlecht
unbekannt
Datum
Ersteintrag: 20.03.2002
Update: 04.02.2024