Diagnose
alpha-1-Antitrypsinmangel
Diagnose Gruppe
angeboren /genetisch/Missbildung
Topographie Gruppe
Leber, Gallenwege, Pankreas
Beschreibung
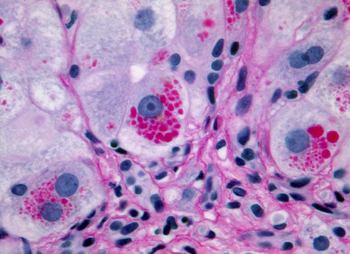
Nach Diastase Vorbehandlung enthalten die periportalen Hepatozyten zahlreiche kugelige rote zytoplasmatische Einschlüsse, welche immunhistochemisch alpha-1-Antitrypsin entsprechen.
Datum
Ersteintrag: 20.03.2002
Update: 04.02.2024