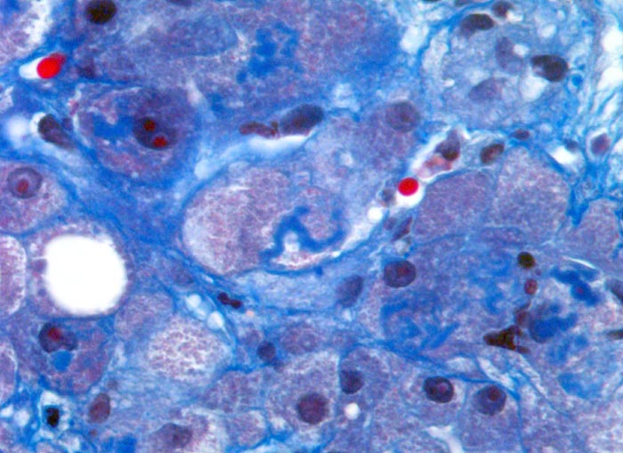
Mallory-Denk Körper bei alkoholischer Steatohepatitis
Diagnose Gruppe
Therapiefolgen
Topographie
Leber
Topographie Gruppe
Leber, Gallenwege, Pankreas
Beschreibung
Vereinzelte Hepatozyten enthalten eine grosse Lipidvakuole. Andere enthalten im Zytoplasma blaue amorphe, teils plumpe, teils wurmförmige Mallory-Denk Körper.
Kommentar
Mallory Körper treten bei verschiedenen Lebererkrankungen auf: Alkoholische und nicht alkoholische Steatohepatitis, Morbus Wilson, intestinaler Bypass, Abetalipoproteinämie, schwere chronische Cholestase.