Diagnose
Nahrungsmittelgranulom
Diagnose Gruppe
Artefakt / Fremdkörper / Pigment
Topographie Gruppe
Oesophagus, Magen
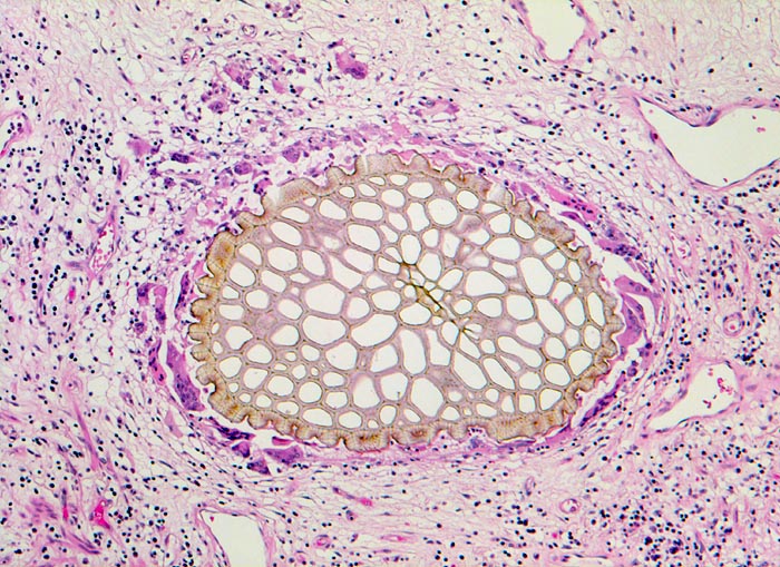
Beschreibung
Chronische Entzündung und Ödem der Submukosa. Im Bildzentrum ein pflanzlicher Fremdkörper, welcher von zahlreichen Fremdkörperriesenzellen umlagert wird.
Zusatzbefund
Chronisches Ulkus nach Strahlentherapie eines Ösophaguskarzinoms.
Klinik
Oesophagus-Karzinom mittleres Drittel, neoadjuvant vorbehandelt.
Datum
Ersteintrag: 20.03.2002
Update: 04.02.2024