PathoPic – image database / PathoPic ID 3059 - Peutz Jegher Polyp

de
Diagnose
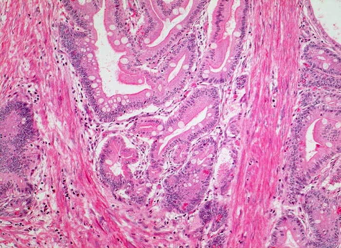
Peutz Jegher Polyp
Diagnose Gruppe
benigner Tumor
Topographie
Jejunum
Topographie Gruppe
Darm, Anus
Beschreibung
Zwischen den enterisch differenzierten Epithelverbänden mit Lamina propria verlaufen breite Stränge glatter Muskulatur.
Zusatzbefund
Breitbasiger Polyp von 3cm Durchmesser.
Klinik
Eisenmangelanämie und wiederholte Abdominalschmerzen infolge von Intussusception.
Kommentar
Epithelverlagerungen in die Submukosa und Muscularis propria kommen nur in Dünndarmpolypen vor.
Bilder Typ
Histologie
Vergrösserung
100
Alter
7
Geschlecht
unbekannt
Datum
Ersteintrag: 21.03.2002
Update: 04.02.2024