PathoPic – image database / PathoPic ID 3090 - Narbe in kryptorchem Hoden: ausgebrannter Keimzelltumor

de
Diagnose
Narbe in kryptorchem Hoden: ausgebrannter Keimzelltumor
Diagnose Gruppe
maligner Tumor
Topographie
Hoden
Topographie Gruppe
Genitalorgane, männlich
Beschreibung
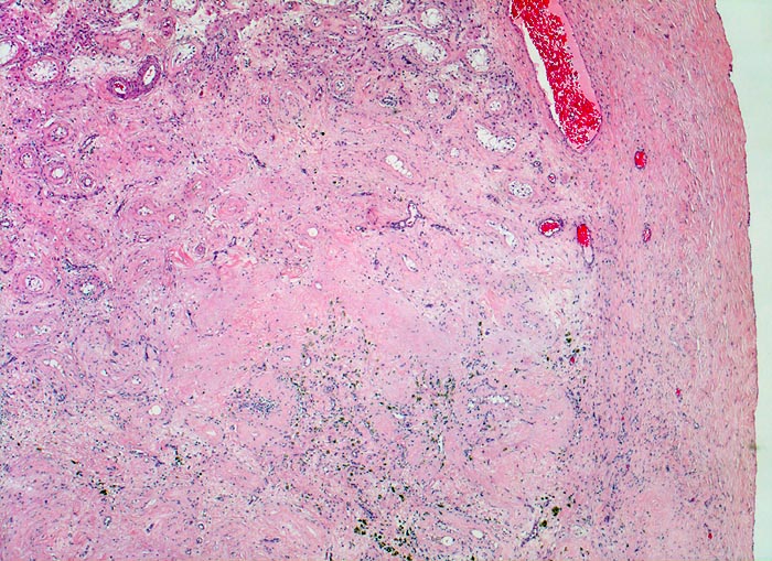
Am linken oberen Bildrand sind einzelne atrophe Hodentubuli erhalten. Das atrophe Parenchym geht über in eine dichte Narbe mit lockerem Entzündungsinfiltrat und siderinbeladenen Makrophagen. Innerhalb der Narbe können keine Tumorzellen nachgewiesen werden.
Zusatzbefund
Retroperitoneale Lymphknotenmetastasen eines Keimzelltumors.
Klinik
St.n. Orchidopexie.
Kommentar
Schnell wachsende Keimzelltumoren wie embryonale Karzinome und Chorionkarzinome können im Hoden vollständig absterben und vernarben. Beim Nachweis von Metastasen eines Keimzelltumors und einer Narbe im Hoden kann davon ausgegangen werden, dass es sich bei der Narbe um einen ausgebrannten Keimzelltumor handelt.
Bilder Typ
Histologie
Vergrösserung
25
Alter
33
Geschlecht
männlich
Datum
Ersteintrag: 21.03.2002
Update: 04.02.2024