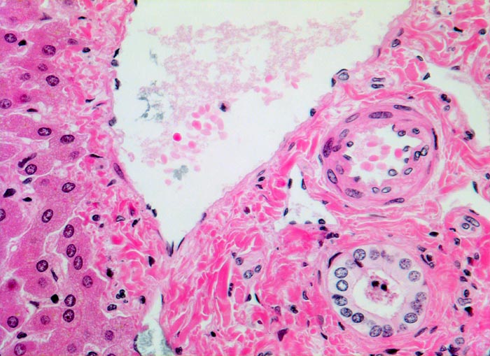
Anschnitt eines Portalfeldes mit Portalvenenast, Arterienast und Gallengang. Der Gallengang hat etwa dasselbe Kaliber wie die Arterie. Portalfeld ohne nennenswertes Entzündungsinfiltrat und ohne Fibrose. Links im Bild wenig unauffälliges Leberparenchym.