PathoPic – image database / PathoPic ID 3127 - Normales Portalfeld. Einzelne Glykogenkerne.

de
Diagnose
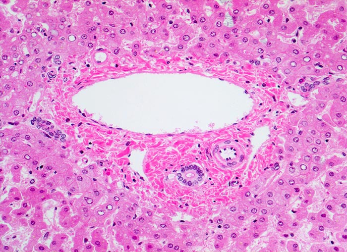
Normales Portalfeld. Einzelne Glykogenkerne.
Diagnose Gruppe
Normalbefund
Topographie
Leber
Topographie Gruppe
Leber, Gallenwege, Pankreas
Beschreibung
Im Zentrum ein entzündungsfreies, nicht fibrosiertes Portalfeld mit Gallengang, Arterienast und mehreren dünnwandigen weitlumigen Venenästen. Einige Hepatozyten zeigen Glykogenkerne.
Kommentar
Lochkerne (Glykogenkerne) findet man vermehrt bei Diabetikern. In geringer Zahl kommen sie auch in normalen Lebern vor.
Bilder Typ
Histologie
Geschlecht
weiblich
Datum
Ersteintrag: 21.03.2002
Update: 04.02.2024